CASE
SELECTION

Can 3D Aligner's Work For Me ?

3D aligners are invisble braces that solves most of your orthodontics isses like crowding, spacing, crossbite, underbite and deepbites. 3D aligners are easily removable for meals, brushing & for special occasions.

blog img

Dental Crowding

Dental crowding or malocclusion is a hereditary condition that occurs when there is an insufficient amount of space for all teeth to properly fit whithin your mouth.Your teeth may beome displaced if they are too large to fit in the available space.This usually occurs due to disproportionate teeth size and jaw size.

Click here to view real life images

blog img

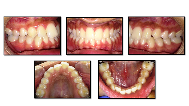
Dental Spacing

Spacing between dentition is characterized by interdental spaces and lack of contact points between the teeth. Spacing can be localized or generalized due to the number of teeth involved. Spacing can result due to

A. Hereditary (Tooth size-arch size discrepancies,Conhenitaly missing teeth, Macroglossia, Supernumerary teeth, Small teeth, and Hypertropic frenum.)

B, Acquired or Pathologic conditions (Tongue size, Missing teeth, Delayed eruption of permanent teeth, and Periodontal disease.)

C. Functional (Oral Habits).

Click here to view real life images

blog img

Increased Overjet

Overjet is the extent of horizontal (anterior-posterior) overlap of the maxillary central incisors over the mandibular central incisors. In class II (division I) malocclusion the overjet is increased as the maxillary central incisors are protruded.

Click here to view real life images

blog img

Deep Overbite

A deep bite is a malocclusion in which the upper front teeth excessively overlap the bottom front teeth when back teeth are closed. This is also called an overbite or closed bite.

Click here to view real life images

blog img

Crossbite

Crossbite is a form of malocclusion where a tooth (or teeth) has a more buccal or lingual position (that is, the tooth is either closer to the cheek or to the tongue) than its corresponding antagonist tooth in the upper or lower dental arch. In other words, crossbite is a lateral misalignment of the dental arches.

Click here to view real life images

Connect With Us

Enter Your Name

Enter Your Phone Number

Enter Your Email Address

Enter Your Message